Your Cart
Loading
How to Handle Braces Emergencies: Broken Wires, Loose Brackets & More
Wearing dental braces in Dubai can help achieve a perfectly aligned smile, but like any orthodontic treatment, braces come with the possibility of unexpected issues. Broken wires, loose brackets, and other emergencies can cause discomfort and disrupt...
Read More
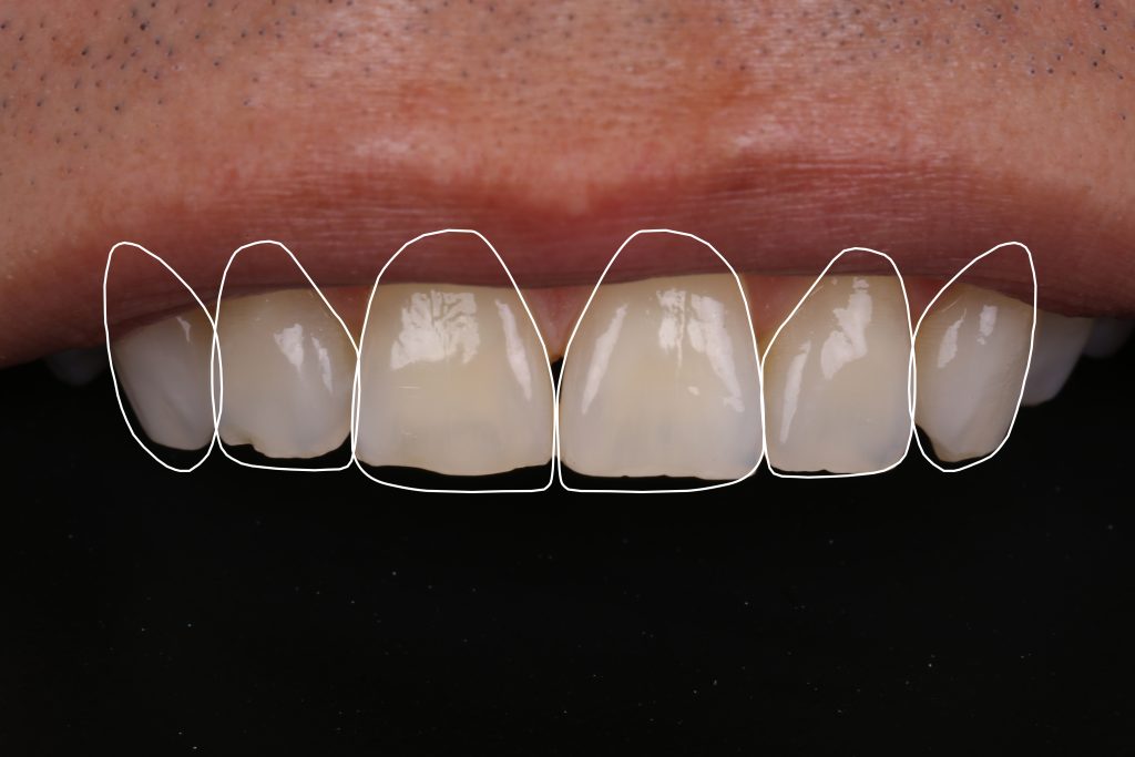
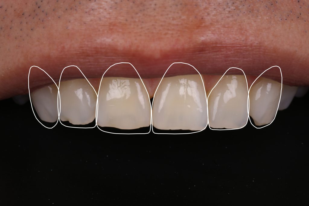
How Digital Smile Design Helps Patients Visualize Their Smile Transformation
The ability to preview a smile transformation before undergoing treatment is a game-changer in cosmetic dentistry. Digital Smile Design in Dubai empowers patients by offering a highly accurate, technology-driven approach that allows them to visualize...
Read More
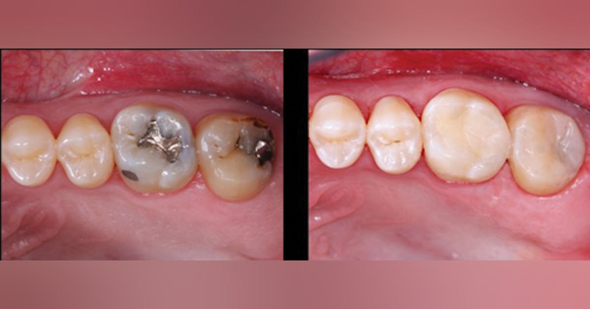
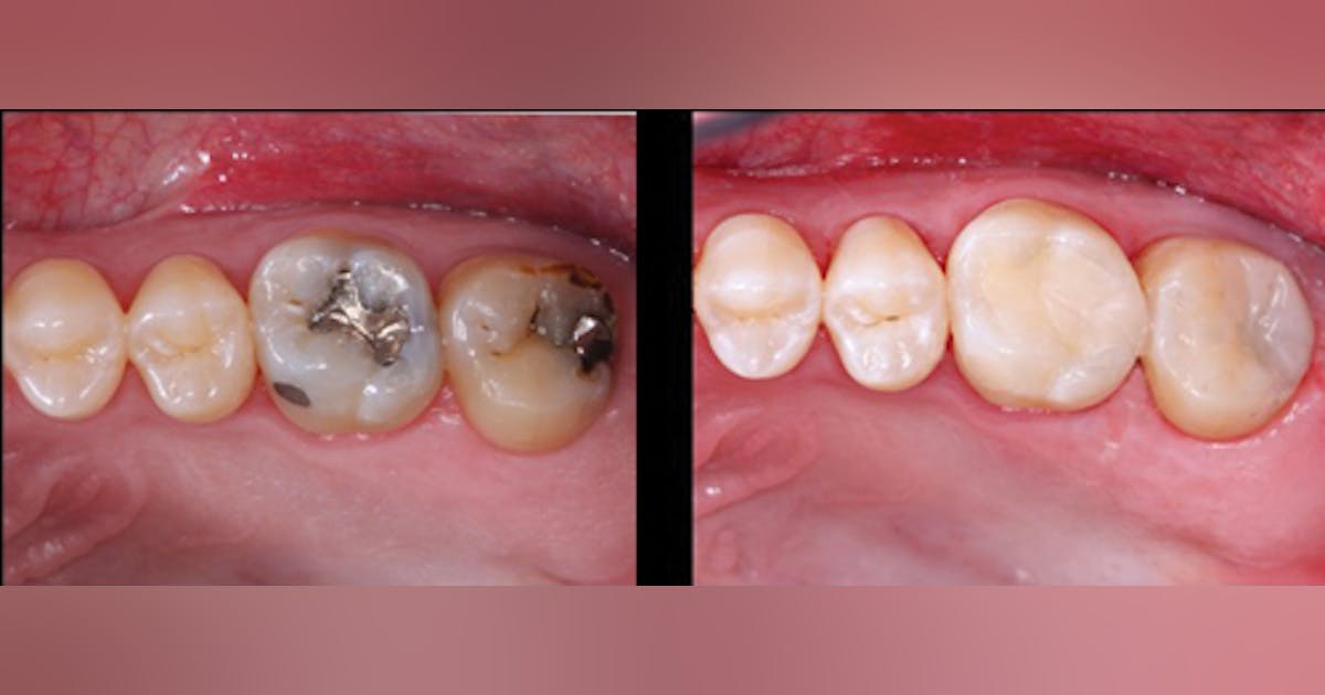
Are Composite Fillings the Best Option for Tooth Repair?
When it comes to restoring damaged or decayed teeth, composite fillings have become a preferred choice for many patients. Their ability to match the natural tooth color and provide a durable solution makes them highly sought after. Many individuals c...
Read More
How to Stay Confident and Smile with Braces: A Guide for Teens
Getting braces is a big step in your journey to a beautiful smile, but it’s natural to feel a little self-conscious at first. Whether you're worried about the way you look or concerned about how braces might impact your daily life, it’s important to ...
Read More
Composite Fillings in Pediatric Dentistry: Safe and Effective for Kids
When it comes to treating cavities in children, composite fillings in Dubai have become an increasingly popular and effective choice. These fillings offer a safe, aesthetic, and durable solution for young patients who need dental restorations. Pediat...
Read More
Affordable Same-Day Dental Implants: What Are Your Options?
When it comes to replacing missing teeth, same-day dental implants in Dubai offer a fast and reliable solution. However, many people worry about the cost of this procedure, especially considering the advanced technology and expertise required. Fortun...
Read More
The Ultimate Guide to Choosing the Right Dentures for Your Smile
Dentures are a life-changing solution for those dealing with tooth loss, offering restored functionality and a confident smile. If you’re considering teeth dentures in Dubai, it’s essential to understand the options available and how to choose t...
Read More
From Discolored to Dazzling: How Cosmetic Dentistry Can Change Your Life
Cosmetic dentistry offers innovative solutions to help transform discolored, chipped, or misaligned teeth into a dazzling smile. If you’ve ever felt self-conscious about the appearance of your teeth, cosmetic dental treatments can make a significant ...
Read More
The Truth About Smile Makeovers: Is It Worth the Investment?
A smile makeover is an appealing option for those looking to transform their smile and boost their self-confidence. In a world where first impressions matter, the role of a beautiful smile cannot be overstated. But with the rising popularity of cosme...
Read More
Zoom Teeth Whitening vs. Traditional Whitening: Which Is Right for You?
When it comes to teeth whitening, there are a variety of options available, but Zoom Teeth Whitening in Dubai and traditional at-home whitening methods stand out as two of the most popular choices. Each method has its own set of benefits and limitati...
Read More
Orthodontists: Helping You Achieve a Perfect Smile at Any Age
Orthodontists in Dubai are dedicated to helping individuals of all ages achieve the perfect smile they’ve always wanted. Whether you’re a child, teenager, or adult, orthodontic care can play a significant role in improving your dental health and enha...
Read More
The Pros and Cons of Choosing Temporary vs. Permanent Dental Veneers
When it comes to enhancing your smile, dental veneers are one of the most popular and effective solutions. However, patients in Dubai often face the dilemma of choosing between temporary and permanent veneers. Both options have their benefits and dra...
Read More
Everything You Should Know About Teeth Dentures for a Perfect Fit
When considering teeth dentures, one of the most crucial factors to think about is getting a perfect fit. A well-fitted denture not only enhances your appearance but also ensures comfort and functionality. In Dubai, people have access to advanced tec...
Read More
Orthodontists and Invisalign: A Clear Solution for a Perfect Smile
Orthodontists in Dubai are increasingly recommending Invisalign as a clear and effective solution for patients seeking a perfect smile without the discomfort and visibility of traditional braces. Invisalign offers a more discreet approach to orthodon...
Read More
Common Myths About Dental Veneers – Debunked!
Dental veneers have gained immense popularity for their ability to enhance the appearance of teeth and create a flawless smile. However, despite their growing demand, there are still several misconceptions surrounding this cosmetic dental treatment. ...
Read More