Your Cart
Loading

About Me

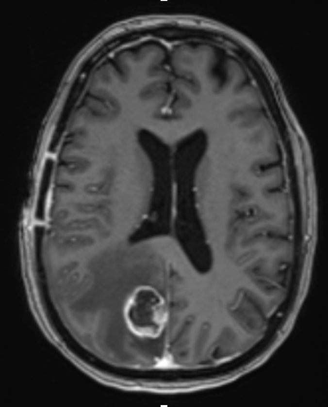
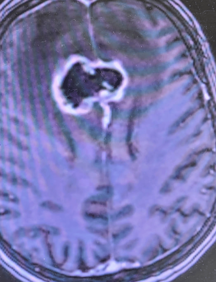
I'm Dr. David Wasilewski, a senior neurosurgery resident (PGY-6) at University Hospital Düsseldorf, with prior training at Charité – Universitätsmedizin Berlin and a research fellowship at CNIO Madrid. My clinical and scientific focus lies in glioblastoma, lower-grade gliomas, brain metastases, and general neurosurgery. I’ve contributed to multiple peer-reviewed publications (H-index 9), co-supervised doctoral theses, and led or co-led translational research projects in neuro-oncology across Europe. Furthermore I am interested in patient education and conveying information from the neurooncology community to a broader public. This site shares selected educational resources for patients/relatives and also doctors in terms of specific topics in neurooncology and neurooncology practice.